Expanding TPLO Beyond Big Breeds
For years, TPLO surgery was largely reserved for medium and large dogs, while smaller patients often underwent lateral suture stabilization. However, smaller dogs typically have higher tibial plateau angles than their larger counterparts, increasing strain on the suture and raising the risk of breakage. Thanks to the development of our 2.0/2.4 TPLO System — and now our even tinier 1.5 mm Titanium TPLO Swing Tiny Plates — TPLO is a safe and effective option for even the smallest patients.

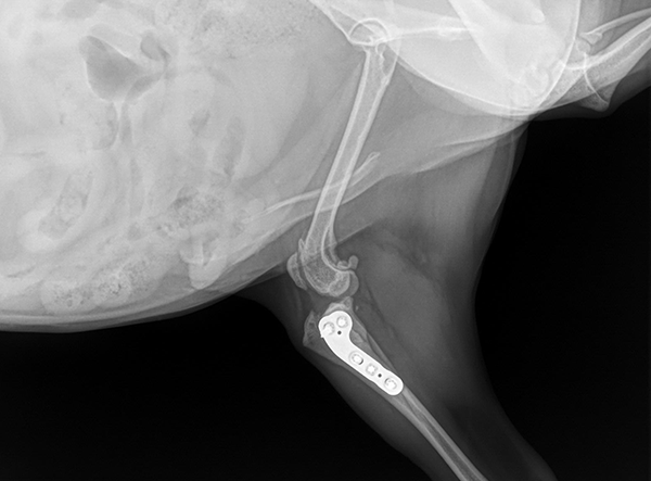
Case Overview
Today’s patient was a petite, 5 kg mixed-breed dog with a cruciate ligament injury. To address the biomechanical demands and ensure long-term stability, a 2.0 mm LeiLOX TPLO Plate was used. The miniaturized plate design allowed for precise anatomical fit without compromising strength.
Implant Overview:
- Precision Fit: Optimized for small bone anatomy.
- Rigid Stability: Maintains fixation during the healing phase.
- Long-Term Reliability: Reduces risk of implant or repair failure.

Recovery Outlook
The surgery was completed smoothly, and postoperative radiographs confirmed excellent alignment and fixation. With controlled rehabilitation, the patient is expected to regain full mobility and enjoy a pain-free return to daily activity.

A New Era in Small Animal Orthopedics
This case highlights how innovation in implant design continues to open new possibilities for smaller patients.
With the addition of the 1.5 mm LeiLOX TPLO Swing Tiny Plates, what was once considered “too small” for TPLO is now a realistic and reliable treatment option — even for the tiniest canine patients like toy breeds.

SPECIAL THANKS to Dr. Jeff Mayo for letting us share this very interesting case.
Implant Used: 2.0 mm LeiLOX TPLO Plate Stainless Steel Plate (also available in Titanium)
System: LeiLOX TPLO System
Manufacturer: Rita Leibinger Medical
Surgery by: Dr. Jeff Mayo (Mayo Veterinary Services)
Featured Products

2.0 mm LeiLOX TPLO Stainless Steel Plate (also available in Titanium)
Product Code: 142-1120-10
(sizes customizeable)
