CrCL Workshops - Ruptures in Small Animals
using Osteotomy Techniques (TTA RAPID® Tiny, TPLO, CBLO)
- Brief Description
- Details
- Agenda


Description
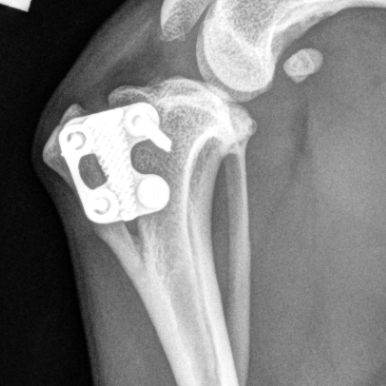
Treating smaller patients like cats or small dogs for cranial cruciate ligament ruptures can be more challenging than treating larger dogs due to a smaller surgical field, making it more difficult to access and visualize the joint during surgery. Also, the degree of the tibial plateau correction needed is often disproportionate to their size. This is because small patients, especially toy breeds, are prone to having steep tibial plateau angles, which can make them more susceptible to cranial cruciate ligament ruptures. To achieve appropriate stabilization and prevent future complications, a more significant correction may be necessary, which can be challenging in small patients due to the limited space and the potential risk of over-correction.
The RITA LEIBINGER Titanium TTA RAPID® Tiny, 2.0/2.4 TPLO and Titanium TPLO Swing, and our 2.0/2.4 Titanium CBLO implant systems and instrumentation are specifically designed for small patients, and can help overcome these challenges. They are typically smaller in size and have different geometries to accommodate the smaller bone structure of small dogs and cats.



This course can offer you a range of valuable specialized knowledge and skills essential for achieving successful outcomes in small patients with cranial cruciate ligament ruptures. Here are some of the key things you might learn:
- Unique advantages of each technique: By learning about the unique advantages of each osteotomy technique, you'll be better equipped to select the appropriate procedure for each individual patient, based on their specific needs and anatomical features.
- Safety considerations: Because these techniques require advanced surgical skills and expertise, it's important to learn how to use them safely and minimize the risk of complications. The course will cover important safety considerations for each technique, as well as ways to manage any complications that may arise.
- Clinical rehabilitation: Treating CrCL ruptures in small patients requires a holistic approach that includes both surgical intervention and post-operative rehabilitation. The course will cover the clinical rehabilitation of anterior cruciate ligament tears in small patients, so you can provide comprehensive care to your patients.
- Comparison to lateral suture techniques: The course will also compare these osteotomy techniques to lateral suture techniques, which are commonly used in small patients. This will help you make informed decisions about which technique to use in different clinical scenarios.
- Hands-on training: The practical exercises included in the course will give you the opportunity to apply the theoretical knowledge you've learned in a hands-on setting. This will help you to develop your surgical skills and gain confidence in using these techniques in a clinical setting.
This course provides a well-rounded and comprehensive training experience for veterinarians who want to enhance their skills in treating CrCL ruptures in small dogs and cats using osteotomy techniques. By the end of the course, you should have a deeper understanding of these surgical techniques, as well as the confidence and skills to perform them safely and effectively in your practice.
- Enhanced knowledge and understanding: The course can provide a more in-depth understanding of the anatomy and physiology of small patients, as well as the pathogenesis and management of CrCL ruptures. It can also provide information on the principles, techniques, and instrumentation used in TTA RAPID® Tiny, TPLO, and CBLO procedures, and how they can be adapted for small patients.
- Improved surgical skills and techniques: The course can offer hands-on training and practical experience with CBLO, TPLO, and TTA RAPID Tiny procedures in small patients, helping to improve surgical skills and techniques, as well as providing exposure to new surgical instrumentation and techniques specifically designed for small patients.
- Improved patient outcomes: The course can help you improve your understanding and application of these surgical techniques in small patients, leading to improved patient outcomes, reduced complication rates, and a faster return to normal function for these patients.
- Better client communication: By having a deeper understanding of the pathogenesis and management of CrCL ruptures, as well as the benefits and risks of various surgical techniques, you can improve your ability to communicate effectively with pet owners, helping them to make informed decisions about their pet's care.
- Networking opportunities: The course can provide opportunities for networking and collaboration with other veterinary professionals who share a common interest in treating small patients with CrCL ruptures using osteotomy techniques.
- Continuing Education (CE) credits: The course offers ATF credits, allowing you to fulfill your professional development requirements and stay up-to-date with the latest advancements in veterinary medicine.
- Increased practice revenue: By expanding your surgical skills and expertise, you may be able to attract more clients seeking specialized care for their small dogs and cats with CrCL ruptures. This can lead to increased practice revenue and a higher level of professional satisfaction.
- Competitive advantage: By staying up-to-date with the latest advancements in veterinary medicine and expanding your skill set, you can gain a competitive advantage over your peers, making your practice more attractive to clients seeking specialized care for their pets.



8:00 | Welcome |
8:15 | Why osteotomy techniques for small dogs and cats?; Stifle anatomy in small patients; Approach to and examination of the stifle; Meniscus treatment |
9:45 | Coffee Break |
10:00 | Concepts of different techniques and their unique benefits; Suture techniques, TTA, TPLO, CBLO; Proper case selection |
12:30 | Lunch Break |
13:00 | Wet Lab: TTA RAPID® Tiny + Patella Luxation, TPLO small plates, CBLO small plates |
16:00 | Coffee Break |
16:15 to 17:00 | Wrap-up, Questions, Feedback |
8:00 | Welcome |
8:30 | Why osteotomy techniques for small dogs and cats?; Stifle anatomy in small patients; Diagnosis cruciate ligament rupture; Partial rupture |
9:45 | Coffee Break |
10:00 | Concepts of different techniques and their unique benefits; |
11:00 | Approach to and examination of the stifle; Meniscus treatment |
12:00 | Lunch Break |
13:00 | TTA RAPID® Tiny, TTA RAPID® Tiny + Patella Luxation, Pre-Op Planning of TTA RAPID® + Patella Luxation/RAPID Luxation, Pitfalls and Solutions |
14:30 to 16:30 | Wet Lab (TTA RAPID® / TTA RAPID®+Patella Luxation) |
8:30 | Review of Day 1 |
9:00 | TPLO in small patients; Pre-Op Planning TPLO; Pitfalls and Solutions |
10:30 | Coffee Break |
10:45 | CBLO in small patients; Pre-Op Planning CBLO, Pitfalls and Solutions |
12:00 | Lunch Break |
13:00 | Wet Lab TPLO |
14:45 | Coffee Break |
13:00 | Wet Lab CBLO |
15:30 to 16:30 | Wrap-Up, Questions, Feedback |
Custom group workshops
Save on travel expenses, personalize and optimize your team's learning experience, and get to pick the date and time that works best for your team by booking a private course with us.

Learn when you want
Choose the date and time that works perfectly for your entire team.
Learn where you want

We can train your team at your practice, in your city, or at any location you specify.
Learn what and how you want
You may select any one of our courses, or even two or three, and schedule them one after the other.
We can go with our standard training agenda to give your team the same valuable experience, or you may customize the content to suit the specific needs of your group.





Talk to us about how you would like us to tailor your group's private course.
