Our client Dr. Sonntag recently wrote us an email with the subject: Here’s why they changed the name of their cat to “LeiLOX”. With this email, he sent us a ton of x-rays - all of which were taken from a single cat patient.

Case Overview
Her owner traversed her with her car thinking it was a sack of flower soil. Sick at heart and believing her cat is going to die, but not giving up hope, the owner brought her to the animal clinic. (Spoiler alert: Dr. Sonntag bought a full LeiLOX kit 5 days before). Can you imagine what Dr. Sonntag was going to expect?



Surgery
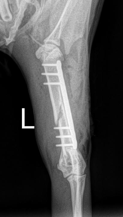
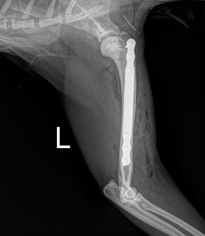
Day 1: He had to fix a humerus spiral fracture (left) with a LeiLOX bridge plate. Furthermore, he diagnosed a femur transverse fracture. Dr. Sonntag then used a 7-hole LeiLOX plate to repair this fracture, and do several emergency soft tissue surgeries.
(Surgery time: 1:15 hours)
Day 2: Repair of two iliac bone traverse fractures (left and right) with LeiLOX L-plates. Finally, several soft tissue surgeries were performed.
(Surgery time: 1:50 hours)




Felix D. Sonntag

“Especially remarkable are the short surgery times.
On this aspect, the LeiLOX System has once again proven one of its many important capabilities.
With conventional plates, this would not have been possible. LeiLOX was the reason why I could repair everything in ONLY two surgeries.”
Dr. Sonntag, Dr. med. vet. Fachtierarzt / Geschäftsführer
Operating surgeon
SPECIAL THANKS to Dr. Sonntag for letting us share this very interesting case.
System: LeiLOX Locking Fracture Systems
Manufacturer: Rita Leibinger Medical
Surgery by: Dr. Sonntag, Kleintiergesundheitszentrum Ravensburg, DE
Featured Products

1.5/2.0 mm Titanium Locking Set for Small Animals
Product Code: 142-1520-00
