Case Overview
This feline patient presented with a severe pelvic trauma following high-impact trauma. Diagnostic imaging revealed a comminuted ilium and acetabulum fracture, along with sacroiliac (SI) luxation — a complex orthopedic challenge requiring careful reconstruction and stabilization.

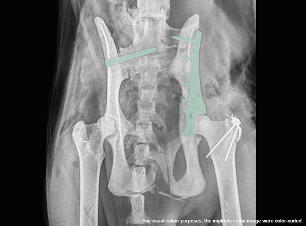
Surgical Approach & Fixation Strategy
Veterinary surgeon Dr. Matan Or (Israel) performed the repair using components from the LeiLOX 1.5 Locking Plate System, known for its precision, flexibility, and lightweight titanium construction.
Implant Overview:
- LeiLOX 1.5 Y-Plate
Positioned on the ilium, the Y-Plate was used to stabilize the comminuted ilial fracture and restore acetabular alignment. The plate’s geometry allowed for secure multi-point fixation in challenging anatomy. - Twisted Straight Plate
A LeiLOX Locking 1.5 straight plate was carefully twisted and adapted to the curved contour of the ilium, providing additional stabilization of the ilial shaft. - Single Transarticular SI Screw
On the contralateral ilium (left side), a long cortical screw was placed across the SI joint into the sacrum to address the sacroiliac luxation. This achieved rigid fixation of the pelvis to the vertebral column.


Implant Advantages
The LeiLOX 1.5 Locking Plate System is made of titanium, offering:
- Excellent biocompatibility
- High strength-to-weight ratio
- Corrosion resistance
- Locking screws for angular stability, even in small, delicate bones
This makes it especially well-suited for feline and toy breed fracture repairs.

Recovery Outlook
Post-operative radiographs showed excellent alignment, secure implant positioning, and stable SI fixation. This multifaceted repair highlights the versatility of the LeiLOX system and the skill of the surgical team. The patient is recovering well with a positive long-term prognosis.
Final Results

SPECIAL THANKS to Dr. Matan Or (Israel) for letting us share this very interesting case.
Implant Used: LeiLOX 1.5 Titanium Locking Plate System and  Y-Plate & Straight Plate + SI ScrewSystem: LeiLOX Locking Plate System
Manufacturer:Â Rita Leibinger Medical
Surgery by: Dr. Matan Or (Israel)
Featured Products

LeiLOX 1.5mm Locking Plate Titanium,
Product Code: 142-0215-04
(many sizes available)
LeiLOX 1.5mm Y-Plate, 5-hole Titanium
Product Code: 142-0215-805
(many sizes available)
SHARE THE STORY
Think someone else should see this?
Download and share!
Looking for more insights? Explore real experiences with LeiLOX Fracture Treatment Systems – authentic stories and results supported by clinical research.
