Case Overview
On June 28, 2023, Jack — the spirited Poodle of our colleague Nicole — experienced a life-threatening accident: a fall from 8 meters. The impact left him with multiple injuries, including a collapsed lung (pneumothorax) and severe trauma to his carpal joint.

First: Stabilizing the Lungs
Jack spent several days in the ICU, where the veterinary team prioritized stabilizing his thoracic trauma. Only 14 days post-accident, once he was strong enough to undergo general anesthesia, was orthopedic intervention safely possible.


Surgical Solution: Pancarpal Arthrodesis
To address the irreparable damage to Jack’s carpus, the decision was made to perform a pancarpal arthrodesis — a surgical fusion of the carpal joint that would relieve pain and restore limb function.
The implant of choice: the LeiLOX Stainless Steel Locking Plate System by Rita Leibinger Medical.

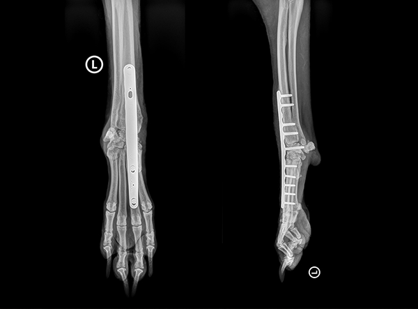
Radiographic Outcome
Post-operative X-rays confirmed excellent implant positioning, strong bicortical screw fixation, and optimal alignment. Jack’s forelimb was now set for a solid and pain-free recovery.

Recovery & Outcome
Today, Jack is back on his feet — running, wagging, and thriving. His remarkable recovery is a testament to skilled surgery, Nicole’s loving care, and the strength of modern veterinary implants.
SPECIAL THANKS to Dr. Siegfried Wilhelm, for letting us share this very interesting case.
Implant Used: LeiLOX Pancarpal Arthrodesis Plate – Stainless Steel
System: LeiLOX Locking Plate System
Manufacturer: Rita Leibinger Medical
Surgery by: Dr. Siegfried Wilhelm, Kleintierpraxis Wilhelm in Radolfzell am Bodensee
Featured Products

LeiLOX 1.5mm Locking Plate Titanium,
Product Code: 142-0215-04
(many sizes available)
Share the Story
Think someone else should see this? Download and share!
Looking for more insights? Explore real experiences with LeiLOX Fracture Treatment Systems – authentic stories and results supported by clinical research.
