TTA RAPID ®
Studies & References
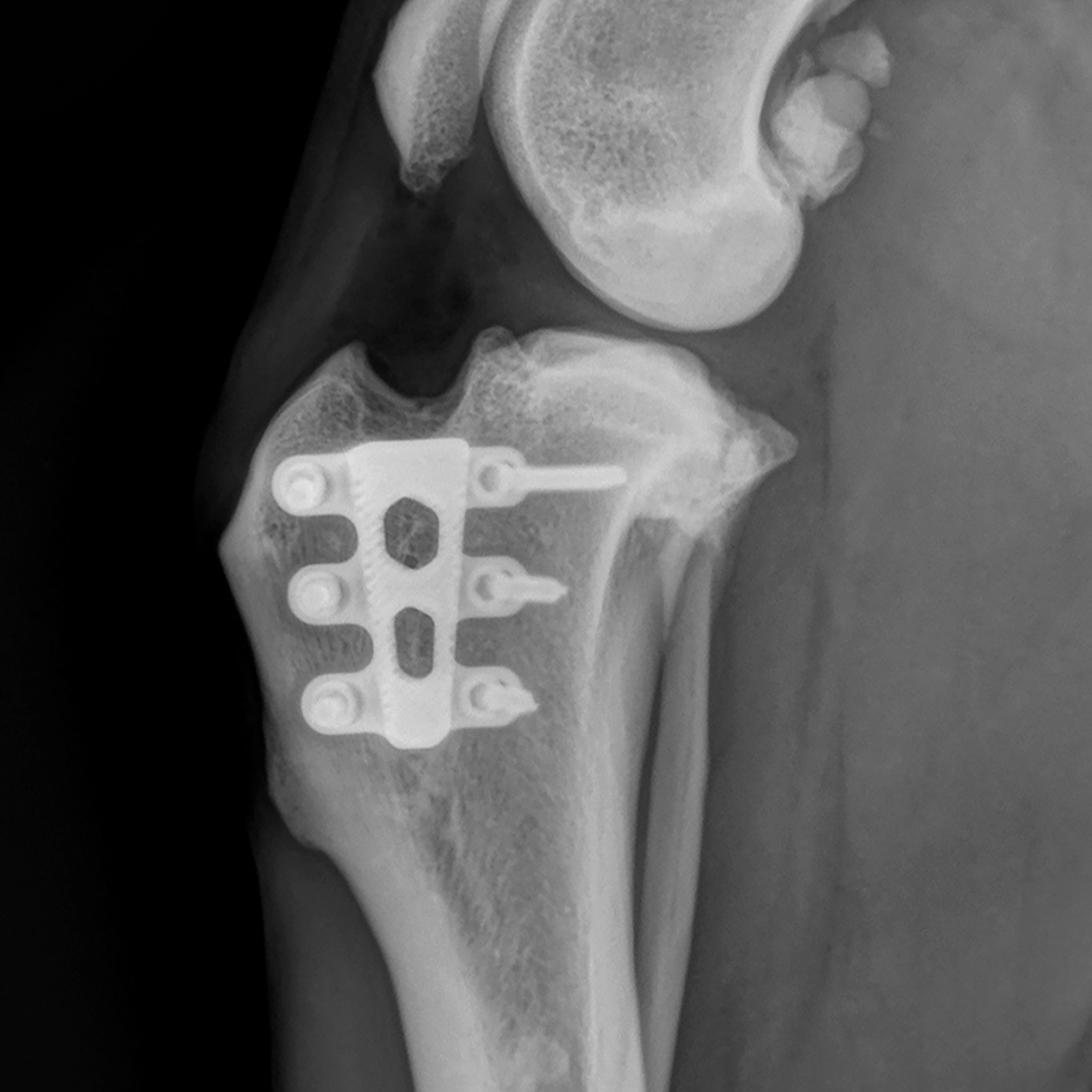
Now with 59 different cage sizes, TTA RAPID® is the most flexible surgical technique designed to repair a cruciate ligament injury. It allows for shorter surgery times, which means lower risk of infection and less costs.





Studies
Veterinary Journals and Publications
Evaluation and application of the TTA-RAPID method in the treatment of cranial cruciate ligament rupture in dogs (Acta Veterinaria, June 2017)
This study evaluated the clinical outcomes of TTA Rapid surgery in 17 dogs with CCL ruptures. Fourteen (82.4%) dogs had a good to excellent outcome 3 months after surgery. It has been concluded that the TTA RAPID® technique procedure is a fast, easy to learn and non-invasive treatment of CrCL ruptures in dogs.
Tibial tuberosity advancement in small-breed dogs using TTA Rapid implants: complications and outcome: TTA RAPID® in small breed dogs (Journal of Small Animal Practice, March 2017)
In this study, 40 dogs with cranial cruciate ligament insufficiency and body weight of 15 kg or less were evaluated, with outcomes rated excellent by 88% of the clients and good by 7%. 94% showed good to excellent limb function only 6 weeks after surgery.
TTA-RAPID in the treatment of the canine cruciate deficient stifle: short- and medium-term outcome: TTA-RAPID in the treatment of the canine cruciate deficient stifle (Journal of Small Animal Practice, January 2017)
This study shows good short- and medium-term outcomes and low complication rates of the 152 procedures carried out in 141 dogs using the TTA RAPID® Technique.
TTA RAPID: Description of the Technique and Short Term Clinical Trial Results of the First 50 Cases (Vet Surg., May 2015)
This study shows that the majority (96%) of dogs achieved a good to excellent outcome three months after surgery, indicating that the modified TTA RAPID® Technique is a viable and promising alternative for addressing CCL rupture in dogs.
Modified Tibial Tuberosity Advancement Rapid in a Dog with One Contralateral Amputated Limb (Vet Sci., September 2022)
TTA RAPID® Technique was performed to treat CCLD in a dog with a contralateral amputated hindlimb and showed that by the second day after surgery, the dog was able to stand on his own. After three months, the dog was free of lamenss and the osteotomy site was completely healed.
Comparison of Outcomes Associated with Tibial Plateau Levelling Osteotomy and a Modified Technique for Tibial Tuberosity Advancement for the Treatment of Cranial Cruciate Ligament Disease in Dogs: A Randomized Clinical Study (VCOT, July 2019)
This study shows high long-term success rates and faster recovery periods in dogs treated with TTA RAPID®.
Long-Term Clinical and Goniometric Follow-Up of TTA RAPID Surgery in Dogs with Cranial Cruciate Ligament Rupture (Acta Vet Eurasia, 2021)
This study involved ten dogs of various breeds, 54.9 ± 24.6 months of age, weighing 35.8 ± 5.6 kg, with unilateral CCL rupture. It has been found that all ten dogs had a good to excellent outcome 52 weeks after surgery, and that the use of TTA RAPID offers an alternative for treatment of CCL insufficiency in dogs, with complication rates comparable to previously reported ones and a high degree of owner satisfaction.
Success Stories
Post-Op Results and Recovery after a TTA RAPID® Surgery
Addie
Addie, a 70lb patient, at 2 days post TTA RAPID® surgery by Dr. Yossi Haroush (Animal Health Center at Veterinary Village).
Sam
Post-Op video of Sam who had a bilateral TTA RAPID® surgery by Dr. Yossi Haroush (Animal Health Center at Veterinary Village).
Gigi
Gigi had bilateral TTA RAPID® surgery performed 3 months prior at the Animal Health Center in Briarcliff Manor, NY. - from Dr. Yossi Haroush
Otto
Sweet Otto is now walkin’ on sunshine thanks to his TTA RAPID surgery by Andrea Hayes, DACVS (Chicago, IL).
Rex
Six year old Rex is finally feeling like himself again after having two TTA RAPID surgeries to repair both cruciates.
Bella
Post-op results at 3 months of Bella, a 40lb Staffordshire Terrier, who had a Bilateral TTA RAPID® surgery by Dr. Ross Elliot in South Africa to repair her CCLs.
Testimonials
Experience with the TTA RAPID® Technique

Dr. Wackes says,
“From the very beginning of the TTA RAPID® development until today, we operate rapidly – observe quick weight-bearing by the patients – no implant reactions, no implant revisions thanks to outstanding biocompatible titanium implants. Let’s keep going.”
Dr. Jeff Mayo on TTA RAPID®
Dr. Jeff Mayo has been performing TTA Surgery since 2005, but has since made the switch to TTA RAPID®.

Dr. Haroush says,
“In a large percentage of our cases, we find that the TTA RAPID® provides the best result with a lower complication rate and the fastest, least restrictive recovery. We find that patients walk better two-days post surgery that they did on initial presentation which makes our client, our patients – and obviously us – much happier.”
Dr. Jens Beyer on TTA RAPID®
Dr. Jens Beyer, an orthopedic surgeon at Ribe-egnens Dyrlæger Animal Hospital in Denmark shares his experience with the TTA RAPID® Technique.
Questions?
You may call us at +49 7463 992 910 (Headquarters in Germany) or email us directly by clicking on the button below. OR fill out the form at the right and send.

TTA RAPID® & RAPID Patella Luxation
By submitting this form, you agree that your data will be stored by Rita Leibinger GmbH & Co. KG to process your request and/or respond to your message. You also hereby confirm that you have read our privacy policy and accept it.
