This step-by-step guide details the management of a cruciate deficient stifle using the TPLO Technique.
Overview
Pre-Operative Assessment and Planning
TPLO Surgery
Indications
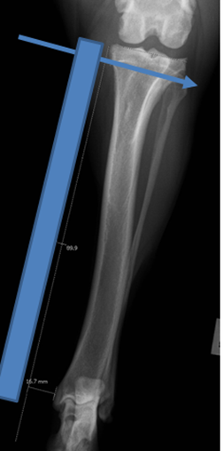
Radiographic Planning: Positioning
Determining the Tibial Plateau Angle (TPA)

Determining Saw Blade Radius


What you will need
Essential Instruments
X-Ray Calibration Ball
Product Code | Description |
|---|---|
100-2000-25 | X-Ray Calibration Ball, 25mm diameter |

TPLO Saw Blade
Product Code | Width (in mm) |
|---|---|
102-2100-09 | 09 |
102-2100-12 | 12 |
102-2100-15 | 15 |
102-2100-18 | 18 |
102-2100-21 | 21 |
102-2100-24 | 24 |
102-2100-27 | 27 |
102-2100-30 | 30 |
102-2100-33 | 33 |

TPLO / CBLO Essential Instruments
Product Code | Description |
|---|---|
247-0103-00 | Screwdriver Handle, silicone, compact, approved for 2.0/2.4 TPLO |
128-2735-10 | Screwdriver Shaft Star Drive T10 |
148-0081-25 | Drill Bit, 2.5 mm diameter |
128-2418-24 | Compression Drill Guide for 2.4mm screws and 1.8mm drills |
164-2735-60 | Depth Gauge for 2.7/3.5 mm screws |
164-1520-20 | Depth Gauge for 2.0/2.4 mm screws |
128-4355-00 | TPLO Jig for 2.7 mm |
128-4354-00 | TPLO Jig for 2.0 / 2.4 mm |
17-3105-08 | Castroviejo, Caliper |
164-2000-00 164-2400-00 164-2700-00 164-3500-00 | Locking Drill Guide for 2.0 mm screws Locking Drill Guide for 2.4 mm screws Locking Drill Guide for 2.7 mm screws Locking Drill Guide for 3.5 mm screws |
TPLO / CBLO Instrument Set and Screw Racks
Product Code | Set Description |
|---|---|
142-0100-01 | TPLO / CBLO Instrument Set |
150-0520-00 150-0524-00 150-0527-00 150-0535-00 150-4027-00 150-4035-00 | Screw Rack for 2.0 mm screws Screw Rack for 2.4 mm screws Screw Rack for 2.7 mm screws Screw Rack for 3.5 mm screws Screw Rack for 2.7 mm screws, extended Screw Rack for 3.5 mm screws, extended |
LeiLOX TPLO Stainless Steel and Titanium Implants
LeiLOX TPLO - Patient Weight Guide
Weight Range | LeiLOX TPLO Implant Size |
|---|---|
less than 10 kg | 2.0 mm |
8 to 18 kg | 2.4 mm |
15 to 30 kg | 2.7 mm |
25 to 40 kg | 3.5 mm |
more than 35 kg | 3.5 mm broad |
TPLO Surgery Protocol
A step-by-step guide
1. Using the TPLO Jig





2. Making the osteotomy and rotating the bone fragment



3. Placing the TPLO Plate

4. Post-Surgery Care

Questions?
You may call us at +49 7463 992 910 (Headquarters in Germany) or email us directly by clicking on the button below. OR fill out the form at the right and send.

LeiLOX TPLO
By submitting this form, you agree that your data will be stored by Rita Leibinger GmbH & Co. KG to process your request and/or respond to your message. You also hereby confirm that you have read our privacy policy and accept it.
