RAPID Luxation Plating System – References

RAPID LUXATION

Studies & References 

As a Tibial Tuberosity Transposition (TTT) Technique, the RAPID Patella Luxation Technique offers an enhanced procedure through its uniquely-designed RAPID Patella Plates and Spacers, as well as its specialized instrumentation, enabling a safe and precise correction of a patella luxation.

Taking inspiration from the success of TTA RAPID®, the RAPID LUXATION Plating System (RLPS) was developed specially for the correction of a patella luxation.

Here are some references and scientific journals about the RAPID LUXATION Technique:

Studies

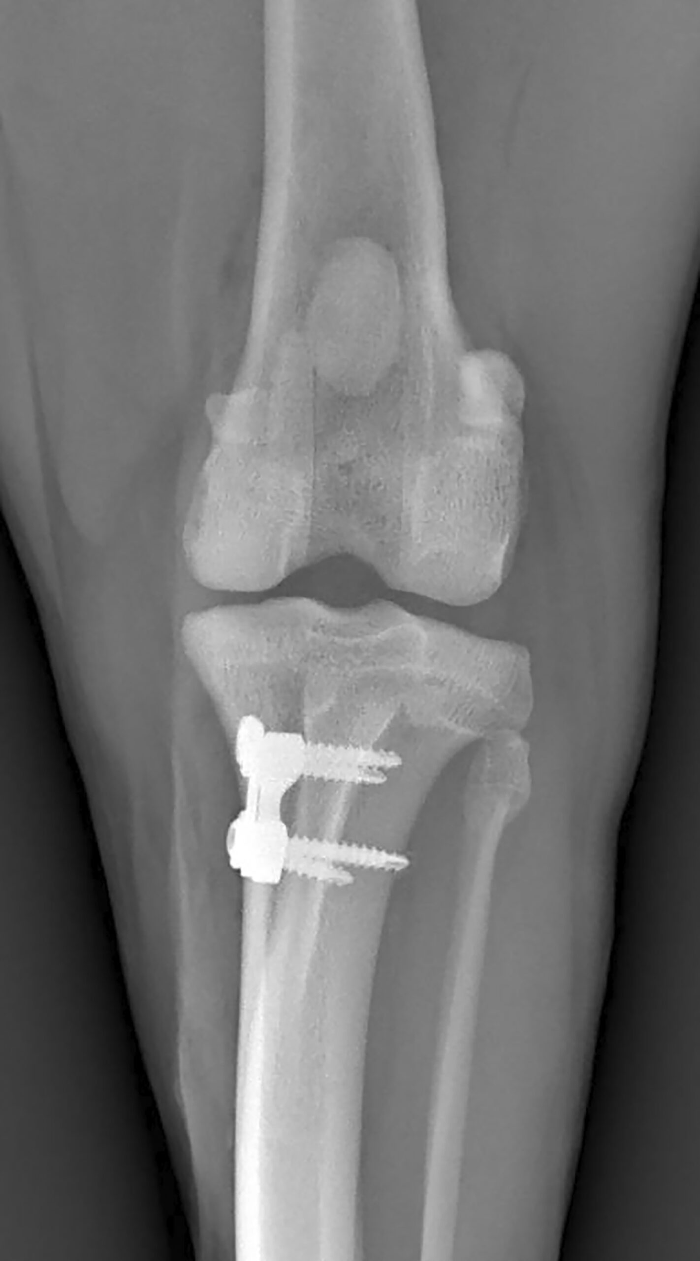
Evaluation of Surgical Technique and Clinical Results of a Procedure-Specific Fixation Method for Tibial Tuberosity Transposition in Dogs: 37 Cases 

(VCOT, Vol. 36, Issue 5, 2023)

This study examined 37 cases that underwent surgical treatment for medial patellar luxation (MPL), utilizing Tibial Tuberosity Transposition (TTT) with the RAPID LUXATION Plating System (RLPS). The findings indicate that TTT using RLPS offers a viable technique across a broad spectrum of patients with MPL, reducing the incidence of implant-related complications as well as tibial tuberosity avulsion or fracture.

Questions?

You may call us at +49 7463 992 910 (Headquarters in Germany) or email us directly by clicking on the button below. OR fill out the form at the right and send.

TTA RAPID® & RAPID Patella Luxation

By submitting this form, you agree that your data will be stored by Rita Leibinger GmbH & Co. KG to process your request and/or respond to your message. You also hereby confirm that you have read our privacy policy and accept it.