What you will learn in the TTA RAPID® & Patella Luxiation Workshops
In a TTA RAPID® & RAPID Patella Luxation , you will gain comprehensive knowledge and hands-on skills to effectively address canine stifle joint conditions. The standard course typically covers:
- Anatomy and Pathophysiology: Deepen your understanding of canine stifle joint anatomy and the pathophysiology associated with cranial cruciate ligament (CCL) ruptures and patella luxation.
- Diagnostic Approaches: Get to know advanced diagnostic tools and techniques for accurately assessing and diagnosing CCL injuries and patella luxations.
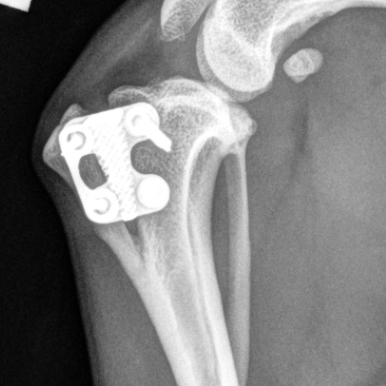
- TTA RAPID Technique: Learn the principles and steps involved in the TTA RAPID® technique, a minimally invasive approach to addressing CCL ruptures. This includes planning the surgery, making precise bone cuts, and utilizing pre-assembled implants for stabilization.
- RAPID Luxation Technique: The course covers the RAPID Luxation Technique, focusing on the addition of a patella luxation spacer to the TTA RAPID Cage. This addresses cases where both CCL injury and patella luxation are present, offering a comprehensive treatment solution.
- Patient Selection and Preoperative Planning: Learn the criteria for patient selection and how to identify suitable candidates for the TTA RAPID® & RAPID Patella Luxation procedures. This includes considerations for preoperative planning and patient preparation.
- Postoperative Care: The course emphasizes proper postoperative care and rehabilitation strategies, contributing to optimal recovery and long-term success for patients.
Benefits for you include enhanced surgical skills, expanded treatment options, and improved patient outcomes. By mastering these techniques, you can offer advanced orthopedic solutions, differentiate your practice, and ultimately provide better care for canine patients with complex stifle joint conditions.
TTA RAPID® &
RAPID Patella Luxation
Custom group workshops
Save on travel expenses, personalize and optimize your team's learning experience, and get to pick the date and time that works best for your team by booking a private course with us.

Choose the date and time that works perfectly for your entire team.

We can train your team at your practice, in your city, or at any location you specify.
You may select any one of our courses, or even two or three, and schedule them one after the other.
We can go with our standard training agenda to give your team the same valuable experience, or you may customize the content to suit the specific needs of your group.





Talk to us about how you would like us to tailor your group's private course.




