HEADLESS COMPRESSION SCREWS WORKSHOPS / CE COURSES
Various Applications of Headless Compression Screws
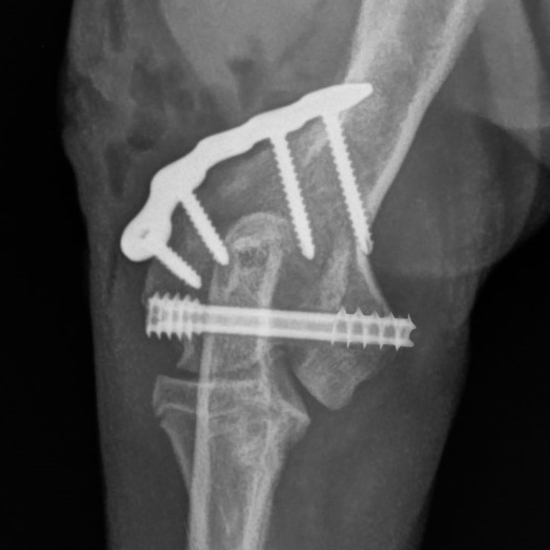
This course will explore the cannulated headless compression screw system, including its design, materials, and surgical applications. Participants will gain insights into the indications for these implants, such as elbow condylar fractures, ununited anconeal process (UAP), and hip procedures.
The course will cover anatomical approaches to the elbow and hip, as well as preoperative planning considerations. Participants will also engage in practical hands-on learning and demonstrations to refine surgical skills in a realistic setting.
The session will conclude with a discussion on potential complications, along with expert tips and tricks to enhance surgical outcomes.
Who Should Attend?
This workshop is designed for surgeons looking to expand their expertise in orthopedic fixation techniques using headless compression screws.
LEARNING OBJECTIVES
By the end of this workshop, participants will be able to:
- Understand the design and function of the cannulated headless compression screw system, including its materials and biomechanical advantages.
- Identify appropriate clinical indications for the use of headless compression screws, including elbow condylar fractures, ununited anconeal process (UAP), and hip procedures.
- Demonstrate knowledge of anatomical approaches to the elbow and hip relevant to surgical fixation.
- Apply preoperative planning techniques to optimize surgical outcomes.
- Gain hands-on experience through practical demonstrations to refine surgical skills in a realistic setting.
- Recognize potential complications associated with headless compression screws and learn strategies for prevention and management.
- Utilize expert tips and tricks to enhance surgical technique and improve patient outcomes.
WORKSHOP DETAILS
Custom group workshops
Save on travel expenses, personalize and optimize your team's learning experience, and get to pick the date and time that works best for your team by booking a private course with us.

Choose the date and time that works perfectly for your entire team.

We can train your team at your practice, in your city, or at any location you specify.
You may select any one of our courses, or even two or three, and schedule them one after the other.
We can go with our standard training agenda to give your team the same valuable experience, or you may customize the content to suit the specific needs of your group.





Talk to us about how you would like us to tailor your group's private course.

