CBLO Technique
Studies & References
CBLO (CORA-Based Leveling Osteotomy) represents a relatively recent development in treating cranial cruciate ligament (CrCL) injuries in dogs, compared to traditional techniques such as Tibial Tuberosity Advancement (TTA) and Tibial Plateau Leveling Osteotomy (TPLO). It has, however, gained recognition for its efficacy in achieving optimal joint stability and functional outcomes.



Studies
Veterinary Journals and Publications
Evaluating the outcome after center of rotation of angulation (CORA)-based leveling osteotomy (CBLO) technique to repair unilateral cranial cruciate ligament deficiency using a pressure-sensitive walkway system (Canadian Journ. of Vet. Res., 2023)
Authors:Ömer Coskun and Sivert Viskjer
The study suggests that CBLO offers biomechanical advantages over TPLO, potentially reducing stress on the caudal cruciate ligament and minimizing cartilage erosion. While long-term studies on larger populations are lacking, results indicate promising outcomes for CBLO, including successful recovery and return to full function within 6 to 12 months post-surgery, even in skeletally immature dogs.
Center of rotation of angulation-based leveling osteotomy for stifle stabilization in skeletally immature dogs (Vet Surg., 2022)
Authors: Laura E. Peycke, Renee McDougall, Rodrigo Roca, David Dycus, Don A. Hulse
The study evaluated short-term outcomes of CBLO in skeletally immature dogs with CrCL injury, finding favorable results in restoring function. Despite some complications such as proximal tibia recurvatum and valgus deformity, all dogs maintained full limb function following surgery. With proper preoperative planning, CBLO emerges as a viable option for treating CrCL injury in skeletally immature dogs.
Success Stories
Experience with the LeiLOX CBLO System

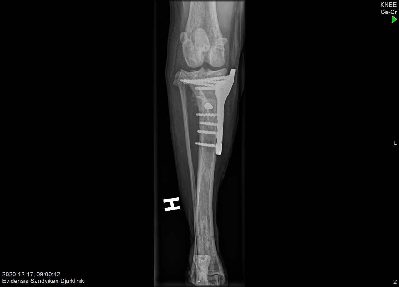
Case Description: The patient is a 35 kg dog. Following the motto "go big, go strong", a LeiLOX CBLO 3.5 mm broad plate was used for this case.
Thank you, Dr. Schmökel for sharing this case with us!
Dr. HUGO SCHMÖKEL (DVM, PhD, Dipl.ECVS, MRCVS) said:
“The X-Ray was taken 4 weeks post-op. The patient is practically lame-free.”

Dr. Toshi Ikeda shared his LeiLOX CBLO case with us: 1 year old Labrador, spayed, female, 30 kg. Our lightweight titanium CBLO Plate features double compression holes, limited contact to bone, and is anatomically contoured.
Thank you, Dr. Ikeda!
Here is another case from Dr. Hugo Schmökel (DVM, PhD, Dipl. ECVS, MRCVS) of a 5kg dog, featuring the LeiLOX CBLO 2.0mm locking plate.
Testimonials
Expert Opinion

Malte Pfohl say,
“The CBLO course by Rita Leibinger was exceptionally informative and highly practical. The technique presented is ingenious and perfectly complements existing procedures, enabling surgeons to effectively address every type of cranial cruciate ligament injury in dogs and cats. I was particularly impressed by the clear, well-structured explanation of the biomechanical principles and the hands-on application during the surgical training. It’s a truly outstanding course for anyone looking to elevate their surgical skills to the next level.”
Questions?
You may call us at +49 7463 992 910 (Headquarters in Germany) or email us directly by clicking on the button below. OR fill out the form at the right and send.

LeiLOX CBLO Titanium
By submitting this form, you agree that your data will be stored by Rita Leibinger GmbH & Co. KG to process your request and/or respond to your message. You also hereby confirm that you have read our privacy policy and accept it.
